cambiare unn sorriso in due appuntamenti

Odontoiatria

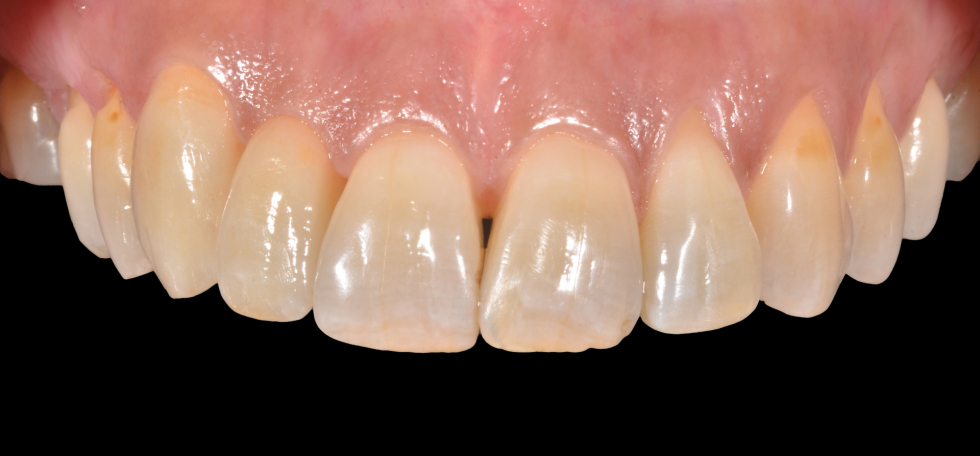
Caso 1 - Faccette in ceramica integrale denti anteriori

usura da bruxismo dei denti, ricostruzione con faccette dei denti anteriori

caso iniziale 

caso finito con le faccette applicate 

evidente il consumo dei denti anteriori 

 

migliorare l'estetica del sorriso senza ortodonzia

 

 

 

 

 

 

CASO 2 - Riabilitazione arcata superiore

paziente con parodontite cronica con perdita di denti

Fase iniziale 

caso finito 

CASO 3 - Correzione di diastema degli incisivi

Caso clinico risolto con l'applicazione di faccette 

la modifica del sorriso che, presenta uno spazio molto evidente tra i due incisivi, si esegue attraverso l'applicazione di faccette in ceramica integrale, che ha permesso di rendere un sorriso più adeguato al volto della paziente.

Fase Iniziale 

caso finito con le faccette applicate 

isolamento dei denti con la diga di gomma per evitare inquinamento durante la cementazione 

una delle faccette, si nota lo spessore ridotto 

 

CASO 4 - Ricostruzione di dente incisivo

 

la rimozione dell'otturazione svela la presenza di un dente più piccolo (conoide) 

 

CASO 5 - Otturazione Estetica su Molari

Una vecchia otturazione in amalgama è infiltrata dalla carie e quindi viene rimossa e sostituita con una otturazione in composito 

il dente presenta una vecchia otturazione in amalgama con carie nelle zone interprossimali cioè proprio nei punti di passaggio tra un dente e l'altro 

la freccia più grande indica la presenza della carie, la freccia piccola indica la zona di altra carie con una iniziale incrinatura dello smalto 

viene messa in evidenza la carie anche del dente accanto mentre la freccia piccola fa vedere la carie che era presente sotto la vecchia otturazione 

 

TORNARE A SORRIDERE con gli impianti e senza usare il bisturi

Oggi è possibile tornare a sorridere con i denti anche per chi ormai li ha persi da tempo o li sta perdendo. La tecnica di  ALL ON FOUR permette di inserire impianti e mettere un carico immediato, cioè fissare i denti sugli impianti e tornare a mangiare il giorno stesso dell'intervento.  inoltre è possibile eliminare il bisturi perchè la tecnica utilizzata ci permette spesso di progettare il posizionamento degli impianti senza l'uso del bisturi e con poche e semplici manovre si mettoni 4/6 impianti senza dover tagliare la gengiva come veniva fatto in passato

RX del caso iniziale che mostra distruzione ossea e tasche parodontali infette 

RX panoramica dopo l'estrazione dei denti che mostra lacune ossee 

TAC che mostra l'aspetto tridimensionale dell'osso 

RX con la simulazione degli impianti prima del loro inserimento 

si applica una mascherina di resina che serve da guida per l'inserimento degli impianti senza usare alcun tipo di bisturi 

gli impianti appena inseriti. Come si può vedere non c'è sangue, né tagli visibili 

rx finale con i denti montati sugli impianti 

i denti fissati in modo stabile immediatamente alla fine dell'intervento 

CASO 7 faccette e corone incisivi superiori


La paziente richiede di migliorare il sorriso senza però fare ortodonzia. Si tratta infatti di un caso che potrebbe essere risolto in modo corretto con una cura ortodontica e qualche semplice restauro. lo studio del caso ha richiesto un importante valutazione dell'estetica del sorriso e quindi è stato studiato costruendo dei modelli in cera per capire se era possibile ottenere il risultato che ci eravamo prefissi. inoltre abbiamo fatto delle semplici applicazioni di composito per dare alla paziente un'idea del risultato quindi abbiamo proceduto alla preparazione dei provvisori,  all'impronta e alla cementazione definitiva delle faccette  e delle corone

foto inziale prenenta una anomalia di posizione dei denti anteriori e notevole discromia 

particolare dei denti prima del trattamento 

sul modello di gesso vengono fatte le modifiche ideali di come dovrebbero essere i denti 

prima modifica provvisoria dei denti 

caso finito con le faccette applicate 

particolare delle faccette 

NUOVA TERAPIE DELLE AFTE

la lesione bianca è l'afta 

24 ore dopo trattamento con ossigeno 

CASO 8 restauro di dente anteriore

A causa di una cattivo restauro sull'incisivo centrale superiore si è formata carie. La rimozione del vecchio restauro e una nuova otturazione hanno permesso di ottenere un buon risultato estetico

 

 

 

 

CASO 9 restauro dente posteriore

in questo caso la carie presente sotto e di lato ad una vecchia otturazione malfatta ha provocato la carie anche sui dei denti adiacenti nel punto di contatto come viene evidenziato dalle frecce disegnate sulla foto

carie sotto vecchia otturazione 

isolamento dei denti sotto diga e apertura della cavita della carie 

le frecce indicano le carie nei punti di contatto dei denti adiacenti al molare 

preparazione della cavità pronta per essere otturata e otturazione. si noti che è stato possibile fare una piccolissima cavità minimamente invasiva e il risultato perfetto dell'otturazione 

preparazione della cavità pronta per essere otturata e otturazione. si noti che è stato possibile fare una piccolissima cavità minimamente invasiva e il risultato perfetto dell'otturazione 

una volta otturati i denti davanti e dietro si procede a ripulire la carie del molare 

otturazione finita 

caso finito 

UN CASO URGENTE

Questo bambino di 8 anni si è rotto i due incisivi centrali superiori, è necessario riparare urgentemente i denti per salvare la polpa. in poco tempo è stato possibile ricostruire i denti e rendere un sorriso come prima dell'incidente

 

 

 

 

rimodellamento dei denti

con poche semplici manovre si rimodellano i denti e un caso che avrebbe potuto essere risolto con una ortodonzia pesante e lunga appare già diverso dopo un'ora! ovviamente la terapia di elezione sarebbe stata ortodontica ,ma di fronte al rifiuto della paziente si è cercato di dare un miglioramento estetico che potesse soddisfare le richieste della paziente

caso inziale 

caso finito dopo la rimodellazione della forma dei denti 

 

 

ESTETICA DENTALE NEI BAMBINI

si tratta di una bambina di 11 anni con una malformazione conoide degli incisivi laterali. 

il sorriso mostra spazi e denti in malposizione 

 

paricolare degli incisivi laterali a forma conoide 

i due incisivi sono stati ricostruiti provvisoriamente in materiale compopsito in attesa della dentizione definitiva. 

 

 

come cambiare un sorriso usurato

la paziente si presenta con i denti usurato a causa del bruxismo, inizia una terapia di ripristino della masticazione e viene cambiata la forma dei denti davanti

stato inziale 

caso finito con le corone applicate 

il sorriso prima delle terapie 

 

miglioramento estetico di un dente su impianto

un caso emblematico dove un impianto sostituisce la perdita di un dente. Qui l'intervento di innesto gengivale e una dente di forma e colore sbagliati hanno creato un inestetismo che impedisce alla paziente di sorridere

il sorriso prima delle terapie 

il sorriso alla fine delle terapie 

evidente anomalia della forma del dente e la tumefazione della gengiva dovuta ad un intervento di chirurgia 

modificando la forma del dente con il provvisorio si ottiene già un primo rimodellamento della gengiva 

il moncone avvitato sull'impianto 

corona definitiva in ceramica 

Cambiare un sorriso in due appuntamenti

il sorriso prima delle terapie 

il sorriso prima delle terapie 

IL SORRISO DOPO LE TERAPIE 

CONTROLLO DOPO 5 ANNI 

un sorriso senza difetti

 

 

 

 

correzione di difetti multipli

 

 

 

 

 

ortodonzia invisibile

con gli allineatori trasparenti abbiamo riportato i denti in una posizione corretta.in modo semplice e senza disturbi per la paziente

 

 

 

 

 

 

 

 

 

 

 

RIPRISTINO DI UN SORRISO

 

 

 

 

Fiorini Alessandro - Sede Legale Via Ponte Rosso 1 50129 Firenze
P.Iva 04665110484 - Ordine dei Medici di Firenze nr. 06895
Codice fiscale: FRNLSN54E12G713T - a.fiorini@pec.it
Privacy Policy - © 2026 tutti i diritti sono riservati